De la amplia variedad de maloclusiones que existen, hay que destacar la mordida cruzada como la patología más común y que afecta a un mayor número de pacientes.
Por suerte, existen numerosos tratamientos efectivos para tratar esta patología en pacientes de cualquier edad.
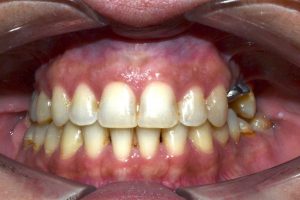
Entendemos como mordida cruzada cuando existe una relación incorrecta entre el maxilar superior e inferior, afectando al correcto encaje de los dientes y es que los dientes superiores quedan por detrás de los inferiores.
En BIO te damos más detalles sobre la Mordida cruzada unilateral: Consecuencias y tratamiento
¿Qué es la mordida cruzada unilateral?
Representa al tipo de mordida cruzada que únicamente afecta a un lado de la boca. Hay que considerar que estamos ante un tipo habitual de mordida cruzada en niños y que afectará negativamente en el crecimiento de la mandíbula, causando asimetrías faciales y dolor en la articulación de la boca.
Causas de la mordida cruzada
Son muchos los factores que están directamente relacionados con la mordida cruzada y, en primer lugar, destacaremos la influencia genética como una de las causas más habituales de la mordida cruzada unilateral.
Por otro lado, conviene hablar también de una serie de hábitos inapropiados que también están relacionados con esta maloclusión como, por ejemplo, la succión del pulgar o la colocación de la lengua en una posición inadecuada. Respirar por la boca también es una razón habitual por la que se desarrolla la mordida cruzada.
Tal y como podemos apreciar, la amplia mayoría de causas afectan a los niños, por lo que es aconsejable acudir regularmente al odontopediatra para que compruebe que la mordida es correcta y para que instruya a los padres y a los menores con todo tipo de consejos prácticos para evitar cualquier maloclusión.
De hecho, se estima que la mejor edad para tratar una maloclusión es a los 6 años, dado que aún no ha finalizado el desarrollo de los maxilares y se podrán aplicar una serie de técnicas que serán muy útiles para evitar todo tipo de problemas en un futuro.
Riesgos de la mordida cruzada unilateral
La mordida cruzada unilateral, tiene un riesgo de propiciar una desviación en el correcto crecimiento y desarrollo facial.
El diagnóstico precoz en la detección y prevención de la asimetría mandibular, es fundamental para un correcto crecimiento craneofacial.
Tratamiento de la mordida cruzada unilateral
Hoy en día podemos encontrar una amplia variedad de técnicas enfocadas para tratar la mordida cruzada y cualquier modalidad de maloclusión.
Para determinar el tratamiento adecuado es necesario conocer la situación que presenta el paciente y es que, si hablamos de adultos, será necesaria la cirugía puesto que el desarrollo óseo ya se ha completado.
Por suerte, el tratamiento en niños y adolescentes es mucho más simple, dado que si se trata de un problema de origen dentario será suficiente con llevar a cabo un proceso de ortodoncia para corregir esta maloclusión.
En la actualidad, la ortodoncia invisible se ha convertido en la solución más demandada, ya que nos permite corregir la desalineación dental a través de una técnica que respeta la estética dental del paciente y, además, nos ofrece mucha más comodidad en comparación con los brackets metálicos.
La ortodoncia invisible tiene la ventaja de que usa alineadores removibles y transparentes, mejorando ampliamente las características que encontramos en los brackets convencionales.

